Registracija
Login
admin
27.05.2019.
111 pregleda
Nema komentara

Grmi asu, nedaj se!

Vrag ne spava!

U nas nikad dosadno, čak i po vakon vrimenu!

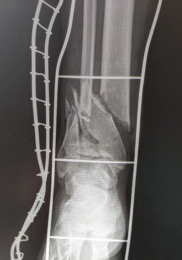
Jučer, lipa grupica dobro raspoloženih lokalnih aseva koristi par uri suhog vrimena za bouldering na idiličnoj Turskoj kuli. Nažalost, u klasiku Kvasimodo, našem prijatelju Igoru Grmuši puca hvatište na samom izlazu iz smjera, nezgodno pada i doživljava otvoreni prijelom potkoljenice. Jučer je bila jedna operacija, danas druga - da je ko drugi zabrinuli bi se - al Grmi je zmaj, bit će to dobro!

>> ... je, kreševi su bili, je spotera je bilo i je, može se dogodit usprkos svemu. Podsjetimo se, osvistimo se, dajmo sebi plesku - gušt je i volimo ga al i uvik se može desit sranje - o penjanje naše svagdašnje...

Podjeli članak na društvenim  mrežama

Komentari

Odgovori

Vaša adresa e-pošte neće biti objavljena. Obavezna polja su označena sa * (obavezno)

zadnji komentari

Zadnji komentari

envelopemap-markersmartphonecross